子どもの骨は、大人と比べて強さも構造も大きく異なります。その中でも大きく違うのが“骨端線”があるか無いか。骨端線は身長が伸びるための重要な場所ですが、スポーツの現場ではこの骨端線がケガの原因になることが多く見受けられます。代表的なケガとしては「オスグッド」や「シーバー病」など、聞いたことのあるケガもあるのでは無いでしょうか?
今回は骨端線についての知識からケガの予防まで、成長期に知っておきたいポイントをまとめましたのでご覧ください。
骨端線について
どこにあるの?
皆さんの体は骨で支えられ、その骨が伸びることで身長が大きくなっていきます。では、いきなりですが問題です。『骨はどこの部分が伸びることで長くなっていくでしょうか?』。体の場所によって骨の形が違うので、答えはかなりざっくりです。気軽に考えて読み進めてください。

こちらに骨の簡単な絵を用意しました。思いつく場所としてはこちらの4パターンが多いのではないでしょうか。みなさんの考えはどこに近いですか?
僕が挙げた場所と全然違う考えの人もいるかもしれませんね。
さて、答えは右図の赤い斜線で囲んだ場所で、だいたい①〜②の間になります。つまり骨のはじから細くなっていく場所にかけて。もちろん骨の形によりますが、おおよそ骨のはじから伸びていくんだなと思っていただければと思います。
そして、この部分にあるものが今回の話題にあげている“骨端線”になります。


レントゲン写真ではこちらがわかりやすいかと思いますので引用させていただきます。
これは膝のレントゲンになりますが、左側の中学生の骨には「つながってるの?」と思ってしまうような線が横に入っているのがわかります。これが骨端線。右側の成人の骨には骨端線はありません。

何をする場所?
骨端線は例えると、骨を作る工場です。この工場では毎日ものすごいスピードで新しい骨が生み出されていきます。ですが、すぐに硬い骨が作られるわけではなく、柔らかい素材でできた“骨の素”が作られます。それが骨の表面や奥に向かうにつれて硬く大きくなりしっかりとした骨へと変わっていきます。

まだまだ弱い骨端線
骨端線があることでみなさんの骨は長くなり身長が伸びていきます。ですが、骨端線はとても弱くケガの原因になりやすいことにも注目しなければなりません。
先ほどお話しした通り、骨端線では新しい“骨の素”がたくさん作られています。それは骨としてはまだ赤ちゃんのようなもので、やわらかく弱い構造になっています。そのため、衝撃や引っ張られる力にとても弱く、ズレやすかったり傷つきやすい状態であるともいえます。


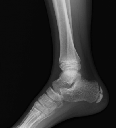
そして骨端線は赤い点線で示した場所になります
さて、カカトにはふくらはぎや足の裏の筋肉がつながっているのですが、その筋肉が使われすぎてカカトの骨をグイグイと引っ張ってしまったらどうなるでしょうか?

骨端線はとても弱い部位ですので、左の図のように筋肉に引っ張られてしまうと、上下どちらかにズレてしまったり、場合によっては上下に割れてしまったりしそうですよね。
(引用させていただいたカカトの骨は実際に上下に割れているのがわかります)
このように、骨端線は骨の成長部分という重要な場所でありながら、ケガの原因にもなりやすい場所なのです。病院に行くと「骨端線障害」という名前で診断されるかと思いますが、発生した場所によって、膝ならば「オスグッド」、カカトならば「シーバー病」などと呼び方が変わります。ですが、基本的な原因は今説明した通りで共通しています。
どれくらいで治る?
骨端線障害が治る期間についてですが、1~2週間で痛みがなくなる人もいれば、数ヶ月や半年以上痛みを抱えるケースもあります。痛みがなくなれば復帰して良いと言われることが多いケガではありますが、復帰してまた痛みが再発してしまうケースも多々見受けられます。早く治る人の特徴は以下の通り。
- 早めに対処する
- 体をケアする習慣をつける
- 日々の姿勢や動きを意識できる
早めの対処
痛みを感じたら早めに練習量の調節をしたいところ。痛くても練習がしたいから・メンバーに選ばれたいからと言って練習を続けてしまうと当然ケガは長引いてしまいます。監督や家族にすぐ相談できる人間関係やケガをしたら休ませてもらえるチーム環境など、自分以外の力も必要になることも多いかもしれませんが、まずは自分の気持ちのコントロールが必要です。
ケアの習慣がある
もともと体をケアする習慣のある選手はやはり治りが早いです。勉強などに追われる忙しい生活習慣であると思いますが、その中でもストレッチをする・栄養や睡眠をしっかりとれるということはスポーツ選手として重要な要素です。初心者でも上級者でも、子供でも大人でも与えられた時間は1日24時間です。時間の使い方を見直して、体のケアに充ててほしいと思います。
正しい姿勢、ダメな動きを知っている
練習量を落とせば痛みはもちろん減り、またスポーツができるまで回復します。ですが、ケガの原因を取り除かなければまた痛みは出てきます。骨端線が痛んでいる場合、ストレッチ不足もそうですが、そもそも筋肉が硬くなりやすい・負担が大きすぎる動きや姿勢をしていることがほとんどです。正しい動きを自分でも理解して、日常生活から取り入れていきたいですね。
ケガの予防のために
骨端線を守るため、やはり基本となるのは日々のストレッチです。成長期の皆さんの骨は自分の意思とは関係なく伸び続けています。ですが、骨にくっついている筋肉も同時に伸ばされてしまいます。

骨と共に勝手に伸ばされてしまう筋肉、そこに日々の運動による疲労が積み上がってしまうと、筋肉はたちまち柔軟性を失ってしまいます。
硬い筋肉は、骨をより強い力で引っ張るようになってしまうため、骨端線への負担も増えてしまいケガにつながります。
また、ストレッチに加えて特定の筋肉に負担がかかっている姿勢や動き方をしていないかのチェックも必要です。ふくらはぎが硬くなる原因、太ももの筋肉が硬くなる原因がそれぞれあるはずです。
例えば、このように猫背で立っているだけで、足にかかる体重の位置は変わってきます。
カカトに体重が乗りやすければそれだけで負担は増えますし、後ろに倒れないようにするために体の前にある太ももの筋肉は常に働き、休めない状態(=硬くなりやすい状態)となります。

姿勢や動きに関しては、自分自身で気づくのは難しいためトレーナーなどの専門家に見てもらう必要があります。ですが、おそらくほとんどの人が、ケガをしてからそのような専門家に会うケースが多いでしょう。やはりまず自分でできることとして日々のストレッチを大切にして過ごしましょう。
最後に
骨端線のケガは成長期の皆さんにしか発生しない、身近なケガの1つです。ですが、ケアをしていれば大きな障害にならないことが多いです。本来、自分の努力で防げたはずのケガが発生してしまうのは、とてももったいないことだと僕は思っています。そして、このような小さな積み重ねで発生するケガが、手術が必要となるような大きなケガにつながることもあります。
身長が伸びる大切な時期だからこそ、正しい知識を持ち、全力でスポーツに打ち込める選手が1人でも増えてくれると嬉しく思います。



コメント